Behandlungsbeispiele
Dr. Ulrich Schwerbrock MSc.
Dr. Dorothea E. Kressel MSc.
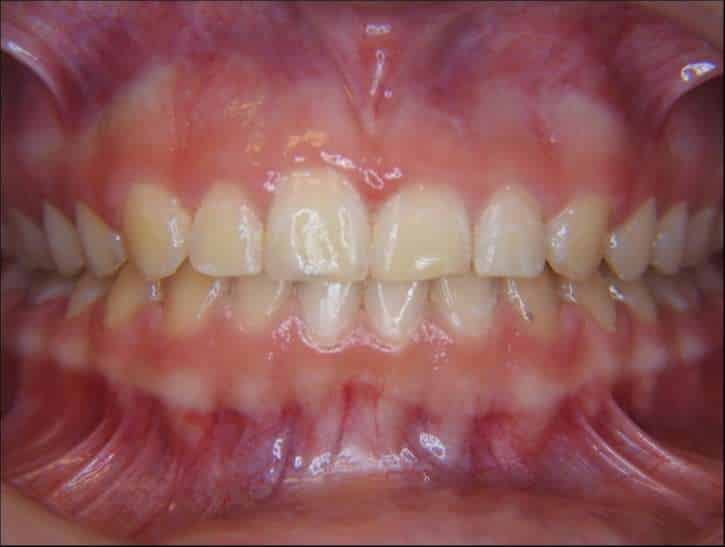
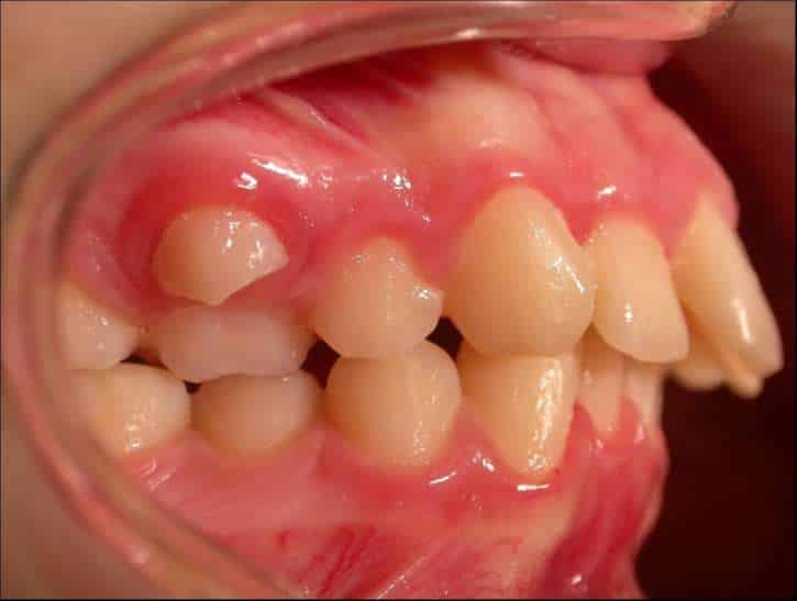
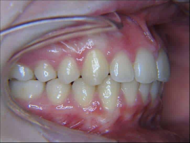
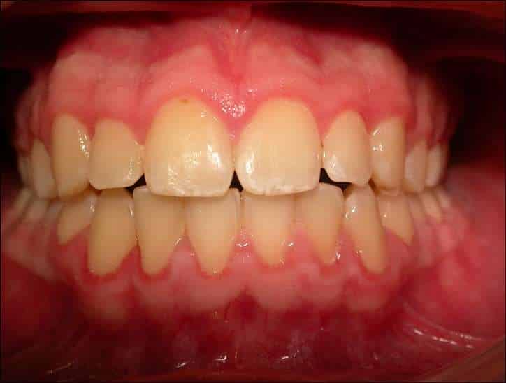
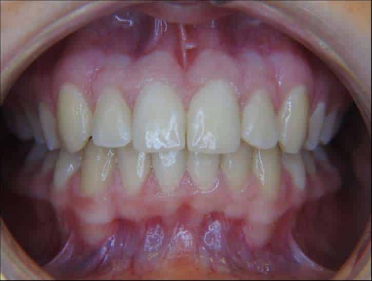
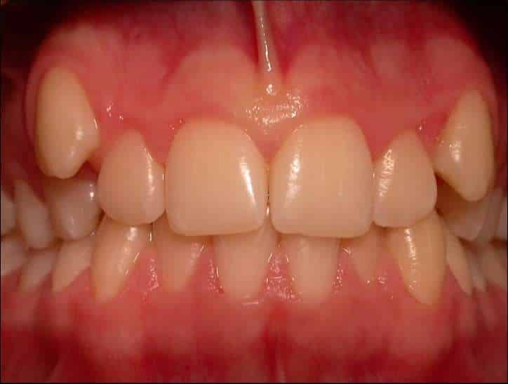
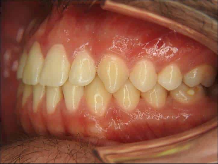
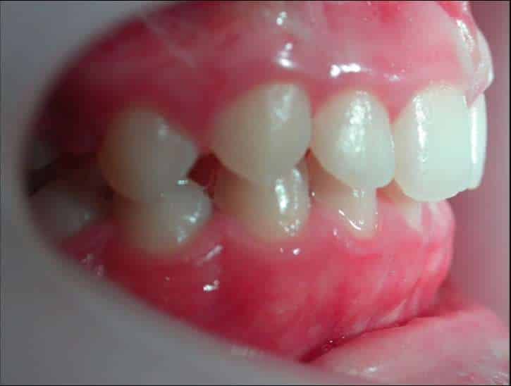
Im Folgenden gewähren wir Ihnen einen Einblick in unsere Arbeit. Sämtliche hier dargestellten Patienten wurden ausschließlich von Herrn Dr. Ulrich M. Schwerbrock MSc. und Frau Dr. Dortohea E. Kressel MSc. behandelt. Die Farbunterschiede zwischen Vorher- und Nachherbetrachtung des gleichen Patienten sind auf die Verwendung verschiedener Kameras, auf Einstellungsmodi und unterschiedliche Lichtverhältnisse zurückzuführen.
Dank der modernen kieferorthopädischen Behandlungsmethoden unserer Fachpraxis wurden die Fehlstellungen behoben. Die Patienten beendeten ihre Behandlung erfolgreich mit einem gesunden, schönen Lächeln.




